
EPAT, also known as Shockwave, is one of the most advanced and highly effective noninvasive treatment methods cleared by the FDA. This proprietary technology is based on a unique set of pressure waves that are introduced into the painful areas of the body, stimulating the metabolism, enhancing blood circulation and accelerating the healing process to regenerate damaged tissue This unique device leads the industry in innovation and performance for the treatment of pain associated with chronic proximal plantar fasciitis. Health care professionals are using EPAT/ESWT to successfully treat acute or chronic musculoskeletal pain and/or
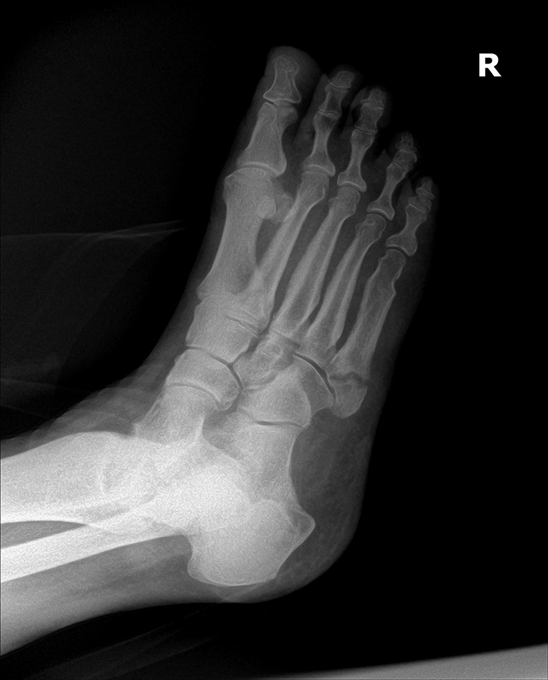
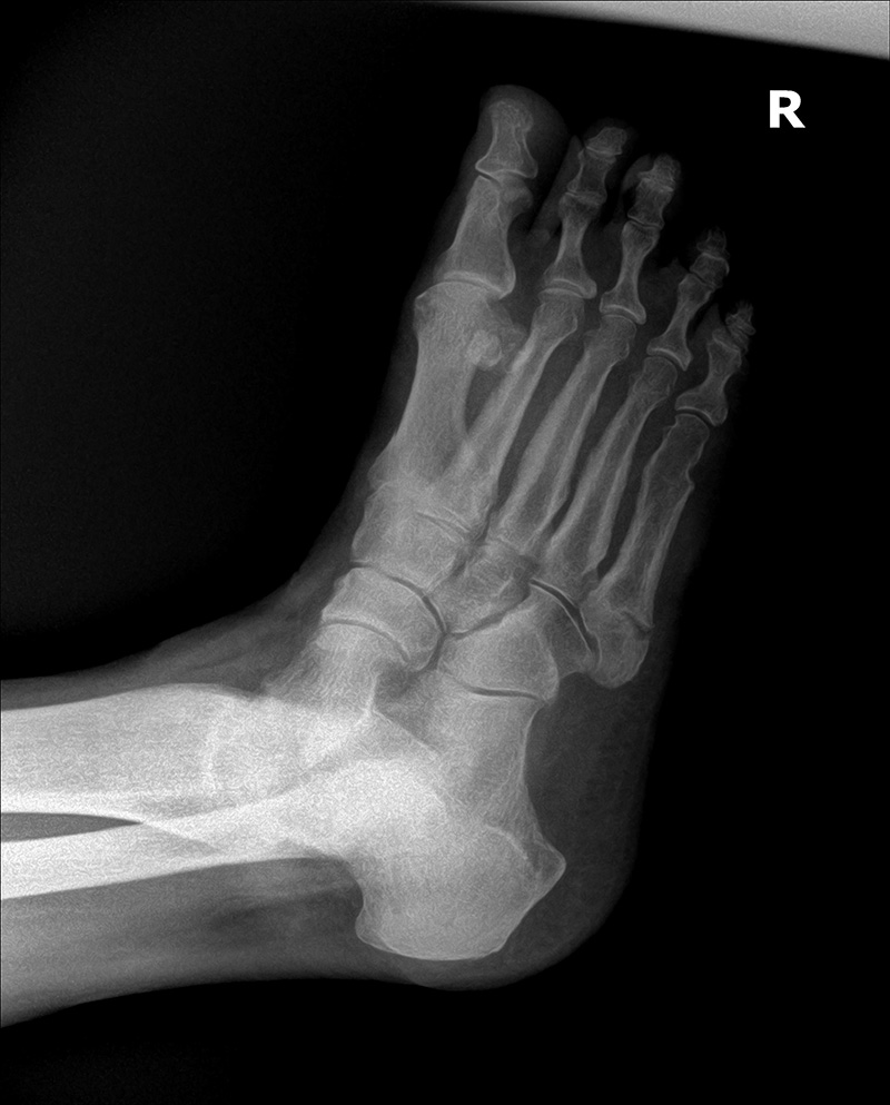
Initial Oblique view to post 4 week oblique view


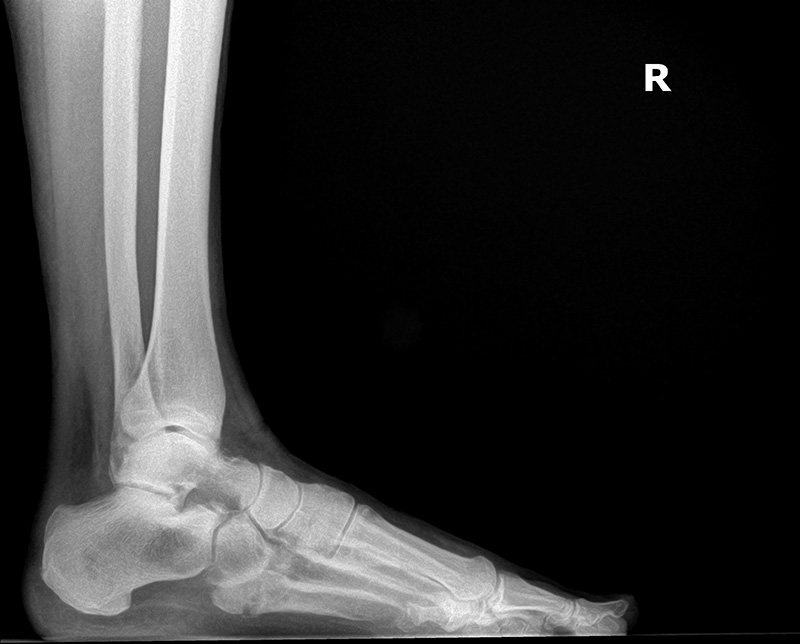
Initial Lateral View to post 4 week lateral view


Shockwave therapy, also known as extracorporeal shock wave therapy (ESWT), is a non-invasive treatment that uses high-energy sound waves to promote healing in damaged tissues. It is commonly used to treat conditions like plantar fasciitis, heel spurs, and Achilles tendonitis by stimulating blood circulation, reducing inflammation, and encouraging tissue repair.
Shockwave therapy works by delivering rapid, targeted sound waves to the affected area of the heel. These waves create microtrauma in the tissue, which stimulates the body’s natural healing process. This process improves blood flow, accelerates tissue repair, and helps reduce pain and inflammation, providing relief from heel pain.
Yes, shockwave therapy is a safe and FDA-approved treatment for many musculoskeletal conditions, including heel pain. It is a non-invasive procedure that carries minimal risk of side effects. Most patients experience little to no discomfort during the treatment. However, as with any medical procedure, a consultation with your podiatrist is essential to determine if shockwave therapy is suitable for you.
Typically, patients undergo 3 to 5 shockwave therapy sessions, spaced about one week apart. The exact number of sessions required will depend on the severity of your heel pain and how your body responds to the treatment. Many patients begin to notice improvement after just a few sessions, but results can continue to improve over time.
Each session usually lasts between 15 to 20 minutes. It is a quick and convenient treatment option, allowing most patients to return to their regular activities immediately afterward without any downtime.
During the session, you will be comfortably seated or lying down while the podiatrist applies a special gel to the area of your heel. The shockwave device is then placed on the skin, and you will feel a series of gentle pulses or vibrations. Most patients report a sensation similar to a deep massage, though it is not painful. After the session, you can resume normal activities.
Shockwave therapy is generally well-tolerated, but some patients may feel a mild to moderate discomfort during the treatment due to the pressure of the shockwaves. This discomfort is typically temporary and goes away once the treatment is finished. The treatment is much less invasive and uncomfortable compared to traditional surgical options.
Most patients start to feel relief after a few sessions of shockwave therapy, with pain continuing to improve over time. Some individuals experience immediate pain reduction, while for others, it may take a few weeks to notice the full benefits. Continued healing can be expected for several months after completing the therapy.
Shockwave therapy is generally very safe, with minimal side effects. Some patients may experience mild soreness or tenderness in the treated area for a day or two after the session. These effects are usually temporary and should resolve quickly. Serious side effects are rare but can include skin bruising or swelling.
Shockwave therapy is ideal for patients suffering from chronic heel pain due to conditions like plantar fasciitis or heel spurs, particularly when other treatments (such as rest, physical therapy, or medications) have not been effective. However, it may not be suitable for individuals with certain medical conditions, such as pregnancy, blood clotting disorders, or active infections. A consultation with Dr. Scott T. Grodman is essential to determine if you are a good candidate for this treatment.
For many patients, shockwave therapy can serve as an effective non-surgical alternative to surgery. It is especially helpful for individuals who have chronic heel pain and prefer to avoid the risks and recovery time associated with surgery. However, in cases where the heel pain does not improve with non-invasive treatments, surgery may still be considered.
One of the major advantages of shockwave therapy is that it requires little to no downtime. Most patients can resume their normal activities immediately following treatment, although you may want to avoid high-impact activities for a few days to allow the area to heal. Your podiatrist will provide guidance on how to care for your foot post-treatment.
Coverage for shockwave therapy varies depending on your insurance plan. Some insurance providers may cover the treatment if it is deemed medically necessary, while others may not. It's best to contact your insurance provider or our office to discuss your coverage options and any potential out-of-pocket costs.
Scheduling an appointment for shockwave therapy at Scott T. Grodman, DPM, PC, is simple. You can visit our website at podiatristintaylor-mi.com to book your consultation or give us a call. Dr. Grodman and our team will evaluate your condition and discuss the best treatment options to help you find relief from heel pain.
Yes, shockwave therapy is not only effective for heel pain but also for other conditions affecting the foot and ankle, including Achilles tendonitis, tendinopathies, and even some forms of sports injuries. It can also be used to treat conditions that involve chronic pain or soft tissue damage.
